欢迎访问广发平台!

阿辛蓝染色

医学实验主要包括分子生物学、细胞生物学、病理学、免疫学的实验;SCI论文主要包括论文翻译、母语润色改写;专利主要包括发明专利、实用新型专利、外观设计专利的申请;专著主要包括单篇学术论文、系列学术论文和学术专著的出版。

阿辛蓝染色 当前位置:首页 > 公司产品 > 医学实验 > 病理学 > 特殊染色

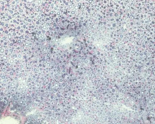
阿辛蓝染色:细胞化学染色是形态学与化学或生物化学相结合的一种检查技术。临床采用阿利新蓝染色法进一步鉴别各类血细胞提高对急性早幼粒细胞白血病诊断具有重要意义。

阿辛蓝染色

       阿辛蓝染色:细胞化学染色是形态学与化学或生物化学相结合的一种检查技术。临床采用阿利新蓝染色法进一步鉴别各类血细胞提高对急性早幼粒细胞白血病诊断具有重要意义
上一篇:苏丹染色
下一篇:刚果红染色
热门推荐
>
<